其他  ›  参考资料

   第1/1页 每页12 张图片
Published on 2/21/2000 法轮功健身功效北京万例调查报告
Published on 2/21/2000 法轮功健身功效北京万例调查报告
Published on 2/21/2000 法轮功健身功效北京万例调查报告
Published on 2/21/2000 法轮功健身功效北京万例调查报告
Published on 2/21/2000 法轮功健身功效北京万例调查报告
Published on 6/14/2000 心肌细胞收缩活性在法轮大法能量场中明显增强
Published on 6/14/2000 心肌细胞收缩活性在法轮大法能量场中明显增强
Published on 6/14/2000 心肌细胞收缩活性在法轮大法能量场中明显增强
Published on 7/7/2000 诺查丹玛斯的《诸世纪》中有关全人类命运的一部分摘录
Published on 9/19/2000 1999年2月, 中国驻加大使和两名参赞关心询问法轮功功法及在加弘传情况, 并鼓励中华文化和法轮功在加拿大发扬光大
Published on 9/19/2000 1999年2月, 中国驻加大使和两名参赞关心询问法轮功功法及在加弘传情况, 并鼓励中华文化和法轮功在加拿大发扬光大
Published on 9/19/2000 1999年2月, 中国驻加大使和两名参赞关心询问法轮功功法及在加弘传情况, 并鼓励中华文化和法轮功在加拿大发扬光大
Published on 12/20/2000 明慧网英文、德文、俄文、法文版
Published on 12/20/2000 明慧网英文、德文、俄文、法文版
Published on 12/20/2000 明慧网英文、德文、俄文、法文版
Published on 12/22/2000 乌鲁木齐市气功协会接纳法轮功为会员的批复
Published on 12/29/2000 人民报:原载国家元首江泽民为何走上了卖国这条路?
Published on 12/31/2000 参考资料:神医华佗的故事
Published on 1/30/2001 “韩国著名预言书籍《格庵遗录》的启示”补注
Published on 3/13/2001 世道人情:李瑞环政协演讲:“干部是人民的公仆”
Published on 4/6/2001 江泽民弄巧成拙:让数字说话
Published on 5/8/2001 图片:农民与公安冲突
Published on 9/11/2001 美国遭恐怖分子袭击
Published on 12/3/2001 沈阳市正副市长及其他14名迫害大法的贪官污吏受到惩罚(图)
Published on 1/19/2002 人神共愤:江氏集团虐杀修炼人
Published on 4/13/2002 焦点谎谈无法掩盖王博一家昔日从大法中受益的事实
Published on 4/13/2002 焦点谎谈无法掩盖王博一家昔日从大法中受益的事实
Published on 4/13/2002 焦点谎谈无法掩盖王博一家昔日从大法中受益的事实
Published on 4/13/2002 焦点谎谈无法掩盖王博一家昔日从大法中受益的事实
Published on 4/23/2002 德国戈斯拉奇观:路上的井盖被焊死
Published on 4/27/2002 总统及各部会长官参与校庆盛会 立法院院长(左)、陈总统水扁(中)、高雄县县长(右)
Published on 4/27/2002 总统及各部会长官参与校庆盛会 立法院院长(左)、陈总统水扁(中)、高雄县县长(右)
Published on 5/28/2002 参考资料:中国国债实为官方数据六倍 可能掀起金融危机
Published on 6/17/2002 来自波罗的海爱沙尼亚、拉脱维亚、立陶宛的报道(图)
Published on 6/17/2002 来自波罗的海爱沙尼亚、拉脱维亚、立陶宛的报道(图)
Published on 6/17/2002 来自波罗的海爱沙尼亚、拉脱维亚、立陶宛的报道(图)
Published on 6/18/2002 远程瞬间传物获突破 科幻小说情节将成为现实?
Published on 7/14/2002 鬼影憧憧的网吧大火(续四)
Published on 7/14/2002 鬼影憧憧的网吧大火(续四)
Published on 8/15/2002 调查显示香港人信心亚洲最低(图)
Published on 9/7/2002 英国广播公司:中国又封另一网上搜索引擎
Published on 9/29/2002 参考资料:为了忘却的记忆(二):毛泽东思想占领教堂
Published on 9/30/2002 参考资料:为了忘却的记忆(三):信息的权利
Published on 10/15/2002 德州中文报纸上刊登的广告:“欢迎江泽民”将意味着什么
Published on 10/22/2002 休斯顿华侨对江泽民到访反应冷淡(图)
Published on 10/31/2002 江XX墨西哥惧见黄颜色(图)
Published on 10/31/2002 江XX百般躲避法轮功和平抗议  海外华人爱国遭冷遇 (图)
Published on 11/4/2002 西方轮回研究书籍介绍(四):《记得前世的儿童》
Published on 11/28/2002 BBC:人权组织要求中国释放网民
Published on 12/13/2002 〖上下五千年〗古代文化天上来 服饰神韵谱春秋(多图)
Published on 12/13/2002 〖上下五千年〗古代文化天上来 服饰神韵谱春秋(多图)
Published on 12/13/2002 〖上下五千年〗古代文化天上来 服饰神韵谱春秋(多图)
Published on 12/13/2002 〖上下五千年〗古代文化天上来 服饰神韵谱春秋(多图)
Published on 12/13/2002 〖上下五千年〗古代文化天上来 服饰神韵谱春秋(多图)
Published on 12/13/2002 〖上下五千年〗古代文化天上来 服饰神韵谱春秋(多图)
Published on 12/13/2002 〖上下五千年〗古代文化天上来 服饰神韵谱春秋(多图)
Published on 12/13/2002 〖上下五千年〗古代文化天上来 服饰神韵谱春秋(多图)
Published on 12/13/2002 〖上下五千年〗古代文化天上来 服饰神韵谱春秋(多图)
Published on 12/13/2002 〖上下五千年〗古代文化天上来 服饰神韵谱春秋(多图)
Published on 12/13/2002 〖上下五千年〗古代文化天上来 服饰神韵谱春秋(多图)
Published on 12/26/2002 静坐的超常心血管效应(图)
Published on 2/4/2003 美国哥伦比亚号航天飞机空中爆炸解体震惊全球(图)
Published on 2/4/2003 美国哥伦比亚号航天飞机空中爆炸解体震惊全球(图)
Published on 2/4/2003 美国哥伦比亚号航天飞机空中爆炸解体震惊全球(图)
Published on 2/4/2003 美国哥伦比亚号航天飞机空中爆炸解体震惊全球(图)
Published on 2/7/2003 文化漫谈:华夏丹青
Published on 2/7/2003 文化漫谈:华夏丹青
Published on 2/7/2003 文化漫谈:华夏丹青
Published on 2/7/2003 文化漫谈:华夏丹青
Published on 2/7/2003 文化漫谈:华夏丹青
Published on 2/7/2003 文化漫谈:华夏丹青
Published on 2/7/2003 文化漫谈:华夏丹青
Published on 2/7/2003 文化漫谈:华夏丹青
Published on 2/7/2003 文化漫谈:华夏丹青
Published on 2/7/2003 文化漫谈:华夏丹青
Published on 2/7/2003 文化漫谈:华夏丹青
Published on 2/7/2003 文化漫谈:华夏丹青
Published on 2/7/2003 文化漫谈:华夏丹青
Published on 2/24/2003 中国官方宗教代表团为躲请愿取消活动(图)
Published on 3/15/2003 59届联合国人权会即将开幕 恰逢战事(图)
Published on 3/15/2003 59届联合国人权会即将开幕 恰逢战事(图)
Published on 3/18/2003 参考资料:中国警察酷刑折磨信徒惊天黑幕(图)
Published on 3/18/2003 参考资料:中国警察酷刑折磨信徒惊天黑幕(图)
Published on 3/18/2003 参考资料:中国警察酷刑折磨信徒惊天黑幕(图)
Published on 3/18/2003 参考资料:中国警察酷刑折磨信徒惊天黑幕(图)
Published on 3/18/2003 参考资料:中国警察酷刑折磨信徒惊天黑幕(图)
Published on 3/18/2003 参考资料:中国警察酷刑折磨信徒惊天黑幕(图)
Published on 3/18/2003 参考资料:中国警察酷刑折磨信徒惊天黑幕(图)
Published on 3/18/2003 参考资料:中国警察酷刑折磨信徒惊天黑幕(图)
Published on 3/18/2003 参考资料:中国警察酷刑折磨信徒惊天黑幕(图)
Published on 3/18/2003 参考资料:中国警察酷刑折磨信徒惊天黑幕(图)
Published on 3/18/2003 参考资料:中国警察酷刑折磨信徒惊天黑幕(图)
Published on 3/18/2003 参考资料:中国警察酷刑折磨信徒惊天黑幕(图)
Published on 3/18/2003 参考资料:中国警察酷刑折磨信徒惊天黑幕(图)
Published on 3/18/2003 参考资料:中国警察酷刑折磨信徒惊天黑幕(图)
Published on 3/18/2003 参考资料:联合国的利比亚闹剧
Published on 4/13/2003 SARS国际消息被封 CCTV利用海外游客制特别节目(图)
Published on 4/15/2003 美中关系不是美国和江泽民的关系(图)
Published on 4/16/2003 “看!这就是你们掩盖的后果!”——加外长答记者问中共封锁SARS疫情
Published on 4/17/2003 时代杂志:揭开中国SARS危机的面纱(图)
Published on 4/17/2003 中国定“非肺炎”为一级传染病 北京大量医务人员染病 多所学校停课
Published on 4/17/2003 时代杂志:揭开中国SARS危机的面纱(图)
Published on 4/18/2003 SARS疫情冲击北京 民众人人自危(图)
Published on 4/19/2003 北京数名医务人员揭露当局欺骗世界卫生组织(图)
Published on 4/22/2003 萨斯扩散 北京“大学区”学生被隔离(图)
Published on 4/24/2003 北京中小学170万学生停课两周防萨斯
Published on 4/24/2003 隐瞒SARS 国人愤怒 全国仅7省暂无病例(图)
Published on 4/25/2003 「具体数字是绝密」 上海仍在掩盖SARS疫情(图)
Published on 4/25/2003 SARS 疫情失控 北京城骤现逃难潮(图)
Published on 4/25/2003 SARS 疫情失控 北京城骤现逃难潮(图)
Published on 4/25/2003 「具体数字是绝密」 上海仍在掩盖SARS疫情(图)
Published on 4/25/2003 SARS 疫情失控 北京城骤现逃难潮(图)
Published on 4/25/2003 「具体数字是绝密」 上海仍在掩盖SARS疫情(图)
Published on 4/30/2003 大陆民众不信任政府将影响防治SARS(图)
Published on 5/2/2003 疫情综述:萨斯病毒在中国大陆蔓延仍失控 中南海未能幸免
Published on 5/2/2003 从医学角度和社会学角度看SARS:SARS真实的故事(图)
Published on 5/2/2003 从医学角度和社会学角度看SARS:SARS真实的故事(图)
Published on 5/2/2003 从医学角度和社会学角度看SARS:SARS真实的故事(图)
Published on 5/2/2003 从医学角度和社会学角度看SARS:SARS真实的故事(图)
Published on 5/2/2003 迎接“五一” 今年北京太“冷漠”(图)
Published on 5/2/2003 迎接“五一” 今年北京太“冷漠”(图)
Published on 5/2/2003 从医学角度和社会学角度看SARS:SARS真实的故事(图)
Published on 5/2/2003 从医学角度和社会学角度看SARS:SARS真实的故事(图)
Published on 5/2/2003 迎接“五一” 今年北京太“冷漠”(图)
Published on 5/5/2003 世卫专家中国归来谈SARS疫情(图)
Published on 5/14/2003 香港大法弟子排字、集体炼功庆祝“世界法轮大法日”(图)
Published on 5/14/2003 香港大法弟子排字、集体炼功庆祝“世界法轮大法日”(图)
Published on 5/15/2003 中国拒透露军人感染萨斯数据(图)
Published on 5/16/2003 参考资料:为何神会让此等悲剧发生?(图)
Published on 5/16/2003 参考资料:为何神会让此等悲剧发生?(图)
Published on 5/17/2003 参考资料:红朝谎言录──彭德怀从开国元帅到「里通外国」(图)
Published on 5/22/2003 人民日报旧闻回顾:麻城建国一社出现天下第一田(图)
Published on 5/24/2003 参考资料:局势严峻 机密文件曝光 中宣部令力挺经济(图)
Published on 5/24/2003 参考资料:局势严峻 机密文件曝光 中宣部令力挺经济(图)
Published on 5/24/2003 参考资料:局势严峻 机密文件曝光 中宣部令力挺经济(图)
Published on 6/6/2003 报导指中国疫情严峻 当局极力隐瞒(图)
Published on 6/9/2003 中国经济谎言还未戳穿 体制透明不会实现(图)
Published on 6/11/2003 中新社透露玄机──北京正全力抢救SARS疑似病人(图)
Published on 6/12/2003 一名两岁男孩因炭疽症在香港死亡
Published on 6/12/2003 一名两岁男孩因炭疽症在香港死亡
Published on 6/14/2003 新西兰法轮功学员游行声援芝加哥控江案(图)
Published on 6/26/2003 怕丢官 层层相瞒 传有萨斯病人被“安乐死”(图)
Published on 6/26/2003 怕丢官 层层相瞒 传有萨斯病人被“安乐死”(图)
Published on 6/26/2003 怕丢官 层层相瞒 传有萨斯病人被“安乐死”(图)
Published on 6/26/2003 参考资料:美大公司被责向中共售监视、识别跟踪技术
Published on 6/30/2003 中共对陈文英保持沉默带给人许多想像的空间 (图)
Published on 7/6/2003 法轮功将中华文化呈现在美国宪法大道上(图)
Published on 7/6/2003 法轮功将中华文化呈现在美国宪法大道上(图)
Published on 7/26/2003 萨斯扩散 解放军封村 切断通讯封消息(图)
Published on 7/26/2003 萨斯扩散 解放军封村 切断通讯封消息(图)
Published on 8/16/2003 中国拟在人体试萨斯疫苗 犯医学大忌
Published on 8/16/2003 中国拟在人体试萨斯疫苗 犯医学大忌
Published on 8/16/2003 中国拟在人体试萨斯疫苗 犯医学大忌(图)
Published on 8/16/2003 中国拟在人体试萨斯疫苗 犯医学大忌
Published on 9/9/2003 大家谈:祖国在我心中(图)
Published on 9/12/2003 资料:在中国比摩天大楼更拥挤的是政治监狱和劳改营
Published on 9/13/2003 参考资料:纽约纪念911二周年 美国人没有仇恨(图)
Published on 9/13/2003 参考资料:纽约纪念911二周年 美国人没有仇恨(图)
Published on 12/10/2003 参考资料:在苦难中等待最后救度的人们(图)
Published on 12/10/2003 参考资料:在苦难中等待最后救度的人们(图)
Published on 12/10/2003 参考资料:在苦难中等待最后救度的人们(图)
Published on 12/10/2003 参考资料:在苦难中等待最后救度的人们(图)
Published on 12/10/2003 参考资料:在苦难中等待最后救度的人们(图)
Published on 12/10/2003 参考资料:在苦难中等待最后救度的人们(图)
Published on 12/13/2003 参考资料:伊拉克和柬埔寨将审判前当权者罪行(图)
Published on 3/19/2004 聋哑大法弟子见证大法的神奇
Published on 6/12/2004 纸能包得住火吗?(图)
Published on 6/27/2004 正直律师抗命腐败 大难不死多亏法轮功弟子救助(图)
Published on 6/27/2004 正直律师抗命腐败 大难不死多亏法轮功弟子救助(图)
Published on 6/27/2004 正直律师抗命腐败 大难不死多亏法轮功弟子救助(图)
Published on 6/27/2004 正直律师抗命腐败 大难不死多亏法轮功弟子救助(图)
Published on 6/27/2004 正直律师抗命腐败 大难不死多亏法轮功弟子救助(图)
Published on 6/27/2004 正直律师抗命腐败 大难不死多亏法轮功弟子救助(图)
Published on 6/27/2004 正直律师抗命腐败 大难不死多亏法轮功弟子救助(图)
Published on 6/27/2004 正直律师抗命腐败 大难不死多亏法轮功弟子救助(图)
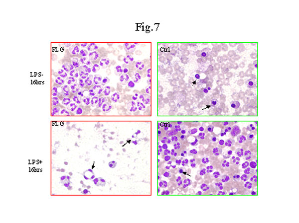
Published on 7/1/2004 在基因水平上研究嗜中性白血球的基因表达变化提示精神修炼在多方面调控基因表达(图)
Published on 7/1/2004 在基因水平上研究嗜中性白血球的基因表达变化提示精神修炼在多方面调控基因表达(图)
Published on 7/1/2004 在基因水平上研究嗜中性白血球的基因表达变化提示精神修炼在多方面调控基因表达(图)
Published on 7/1/2004 在基因水平上研究嗜中性白血球的基因表达变化提示精神修炼在多方面调控基因表达(图)
Published on 7/1/2004 在基因水平上研究嗜中性白血球的基因表达变化提示精神修炼在多方面调控基因表达(图)
Published on 7/1/2004 在基因水平上研究嗜中性白血球的基因表达变化提示精神修炼在多方面调控基因表达(图)
Published on 7/1/2004 在基因水平上研究嗜中性白血球的基因表达变化提示精神修炼在多方面调控基因表达(图)
Published on 7/1/2004 在基因水平上研究嗜中性白血球的基因表达变化提示精神修炼在多方面调控基因表达(图)
Published on 7/1/2004 在基因水平上研究嗜中性白血球的基因表达变化提示精神修炼在多方面调控基因表达(图)
Published on 7/1/2004 在基因水平上研究嗜中性白血球的基因表达变化提示精神修炼在多方面调控基因表达(图)
Published on 7/1/2004 在基因水平上研究嗜中性白血球的基因表达变化提示精神修炼在多方面调控基因表达(图)
Published on 8/13/2004 中国当代“地下工作者” 年花费等于40个农民年收入(图)
Published on 11/22/2004 		2004年11月21日大陆综合消息
Published on 12/18/2004 		书讯:《疾风劲草》已出版发行(图)
Published on 12/30/2004 		参考资料:科学家发现静坐是调节人体的好方法
Published on 1/18/2005 		西班牙指控前阿根廷军官犯有种族灭绝罪(图)
Published on 2/4/2005 		新唐人曼哈顿晚会热销 入场券提前告罄(图)
Published on 2/8/2005 		大海啸中的神迹给人类什么启示?(图)
Published on 2/8/2005 		大海啸中的神迹给人类什么启示?(图)
Published on 3/1/2005 		神仙故事:赣中仙迹(图)
Published on 3/2/2005 		神仙故事:张志和(图)
Published on 3/7/2005 		传统道德教育:天地须知敬(图)
Published on 3/8/2005 		传统道德教育:暗地勿亏心(图)
Published on 3/11/2005 		《二十四孝图》之一:孝感动天
Published on 3/12/2005 		《二十四孝图》之二:亲尝汤药
Published on 3/23/2005 		参考资料:关于销毁中共书画旗徽等物品的倡议(图)
Published on 4/20/2005 		读者投书吁西方不要错过中国的历史巨变(图)
Published on 4/24/2005 		江西某市出现张贴的退出共产党声明(图)
Published on 4/24/2005 		纽约集会声援百万退党 演示法轮功学员被中共迫害(图)
Published on 4/24/2005 		纽约集会声援百万退党 演示法轮功学员被中共迫害(图)
Published on 4/24/2005 		纽约集会声援百万退党 演示法轮功学员被中共迫害(图)
Published on 4/24/2005 		纽约集会声援百万退党 演示法轮功学员被中共迫害(图)
Published on 4/24/2005 		纽约集会声援百万退党 演示法轮功学员被中共迫害(图)
Published on 4/27/2005 		河北沧州、广东韶关出现三退声明、标语
Published on 5/3/2005 		上海街头现退党声明
Published on 5/3/2005 		上海街头现退党声明
Published on 5/3/2005 		上海街头现退党声明
Published on 5/3/2005 		上海街头现退党声明
Published on 5/3/2005 		上海街头现退党声明
Published on 5/16/2005 		国会山前庆祝世界法轮大法日(图)
Published on 5/26/2005 		中共媒体报道亿年藏字石(图)
Published on 5/30/2005 公开张贴的退党声明震撼西方主流媒体(图)
Published on 5/30/2005 公开张贴的退党声明震撼西方主流媒体(图)
Published on 5/30/2005 公开张贴的退党声明震撼西方主流媒体(图)
Published on 5/30/2005 公开张贴的退党声明震撼西方主流媒体(图)
Published on 5/30/2005 公开张贴的退党声明震撼西方主流媒体(图)
Published on 5/30/2005 公开张贴的退党声明震撼西方主流媒体(图)
Published on 6/17/2005 “党文化”的毒汁就是这样灌输老百姓的(图)
Published on 6/20/2005 青岛发生闪电烧人 抢救现场证惊世伪案(图)
Published on 6/20/2005 青岛发生闪电烧人 抢救现场证惊世伪案(图)
Published on 7/5/2005 参考资料:《九评》动态(图)
Published on 7/5/2005 参考资料:《九评》动态(图)
Published on 7/25/2005 陈用林曝光间谍证据 法轮功学员被骚扰经历得印证(图)
Published on 7/25/2005 陈用林曝光间谍证据 法轮功学员被骚扰经历得印证(图)
Published on 7/26/2005 赵妈妈坐领馆的故事(图)
Published on 8/5/2005 参考资料:中共不断变化的谎言(漫画)
Published on 8/21/2005 炮制小品诽谤大法 何庆魁、高秀敏遭恶报(图)
Published on 11/5/2005 不干胶:强烈要求释放法轮功学员刘桂香(山东德州)
Published on 11/5/2005 明慧丛书:《福宝宝的童话集(二)》(繁体电子版)
Published on 12/3/2005 联合国北京谴责中共滥用酷刑(图)
Published on 12/8/2005 联合国“酷刑问题”专员中国考察始末(图)
Published on 3/10/2006 佳能IP1600连供制作;维修大切纸刀
Published on 3/15/2006 苏家屯,不仅仅是个地名(图)
Published on 3/27/2006 闪画:退党抹兽印
Published on 4/18/2006 杀人凶手安排警察到家里“调查”?
Published on 5/5/2006 清华大学须寅教授被非法劳教(图)
Published on 5/5/2006 清华大学须寅教授被非法劳教(图)
Published on 5/5/2006 清华大学须寅教授被非法劳教(图)
Published on 5/5/2006 清华大学须寅教授被非法劳教(图)
Published on 5/5/2006 清华大学须寅教授被非法劳教(图)
Published on 5/5/2006 清华大学须寅教授被非法劳教(图)
Published on 5/6/2006 大陆官方媒体泄露的盗取器官黑幕(图)
Published on 5/6/2006 大陆官方媒体泄露的盗取器官黑幕(图)
Published on 5/6/2006 大陆官方媒体泄露的盗取器官黑幕(图)
Published on 6/18/2006 调查线索:大连市《半岛晨报》透露肝、肾移植信息
Published on 6/24/2006 台湾云林县议会通过议案谴责中共暴行(图)
Published on 7/16/2006 谈对“新型罪恶”的调查和制裁方式(图)
Published on 9/9/2006 助纣为虐终害己
Published on 9/9/2006 助纣为虐终害己
Published on 9/30/2006 加拿大外长严辞批评中共人权状况(图)
Published on 10/3/2006 “他们不修炼可太可惜了”
Published on 11/12/2006 参考资料:日媒揭中共贿赂克林顿夫妇 江泽民主控(图)
Published on 11/12/2006 参考资料:日媒揭中共贿赂克林顿夫妇 江泽民主控(图)
Published on 11/26/2006 法轮功,【漫谈党文化】第一集:漠视生命
Published on 12/10/2006 法轮功,【漫谈党文化】第十五集:饭碗是党给的吗?
Published on 12/14/2006 用A4纸做九评的简易封面,附封面赠言(图)
Published on 12/19/2006 参考资料:【历史的证人】侯芷明的故事:北京之春
Published on 1/13/2007 首都新年晚会开锣在即 加总理藉新唐人送祝福(图)
Published on 1/13/2007 【漫谈党文化】第二十一集:“发展是硬道理”吗?
Published on 1/14/2007 乔高在法国参议院谈中国恶劣人权(图)
Published on 4/14/2007 不干胶:国家地质公园门票现天机
Published on 4/3/2008 法轮功,
Published on 5/19/2008 少年之血映红中国黑夜(图)
Published on 5/19/2008 少年之血映红中国黑夜(图)
Published on 5/22/2008 越来越多的证据表明中共隐瞒震情(图)
Published on 5/22/2008 越来越多的证据表明中共隐瞒震情(图)
Published on 5/22/2008 越来越多的证据表明中共隐瞒震情(图)
Published on 5/22/2008 越来越多的证据表明中共隐瞒震情(图)
Published on 5/22/2008 越来越多的证据表明中共隐瞒震情(图)
Published on 5/22/2008 越来越多的证据表明中共隐瞒震情(图)
Published on 5/22/2008 越来越多的证据表明中共隐瞒震情(图)
Published on 5/23/2008 四川地震遇难学生家长请愿(图)
Published on 5/23/2008 四川地震遇难学生家长请愿(图)
Published on 5/23/2008 四川地震遇难学生家长请愿(图)
Published on 5/23/2008 四川地震遇难学生家长请愿(图)
Published on 5/23/2008 四川地震遇难学生家长请愿(图)
Published on 5/23/2008 四川地震遇难学生家长请愿(图)
Published on 5/23/2008 四川地震遇难学生家长请愿(图)
Published on 5/24/2008 图片:中国和美国政府大楼的比较
Published on 5/24/2008 图片:中国和美国政府大楼的比较
Published on 5/24/2008 图片:中国和美国政府大楼的比较
Published on 5/24/2008 图片:中国和美国政府大楼的比较
Published on 5/24/2008 图片:中国和美国政府大楼的比较
Published on 5/24/2008 图片:中国和美国政府大楼的比较
Published on 5/24/2008 图片:中国和美国政府大楼的比较
Published on 5/24/2008 图片:中国和美国政府大楼的比较
Published on 5/24/2008 图片:中国和美国政府大楼的比较
Published on 5/24/2008 图片:中国和美国政府大楼的比较
Published on 5/24/2008 图片:中国和美国政府大楼的比较
Published on 5/24/2008 图片:中国和美国政府大楼的比较
Published on 5/24/2008 图片:中国和美国政府大楼的比较
Published on 5/24/2008 图片:中国和美国政府大楼的比较
Published on 5/24/2008 图片:中国和美国政府大楼的比较
Published on 5/24/2008 图片:中国和美国政府大楼的比较
Published on 5/24/2008 图片:中国和美国政府大楼的比较
Published on 5/24/2008 图片:中国和美国政府大楼的比较
Published on 5/24/2008 图片:中国和美国政府大楼的比较
Published on 5/24/2008 图片:中国和美国政府大楼的比较
Published on 5/24/2008 图片:中国和美国政府大楼的比较
Published on 5/24/2008 图片:中国和美国政府大楼的比较
Published on 5/24/2008 图片:中国和美国政府大楼的比较
Published on 5/24/2008 图片:中国和美国政府大楼的比较
Published on 5/24/2008 图片:中国和美国政府大楼的比较
Published on 5/24/2008 图片:中国和美国政府大楼的比较
Published on 5/24/2008 图片:中国和美国政府大楼的比较
Published on 5/24/2008 图片:中国和美国政府大楼的比较
Published on 5/24/2008 图片:中国和美国政府大楼的比较
Published on 5/24/2008 “如果县政府房子比学校好”(图)
Published on 5/24/2008 “如果县政府房子比学校好”(图)
Published on 5/24/2008 “如果县政府房子比学校好”(图)
Published on 5/24/2008 “如果县政府房子比学校好”(图)
Published on 6/30/2008 参考资料:汶川、唐山大地震 瞒报真相(图)
Published on 6/30/2008 参考资料:汶川、唐山大地震 瞒报真相(图)
Published on 6/30/2008 参考资料:汶川、唐山大地震 瞒报真相(图)
Published on 6/30/2008 参考资料:汶川、唐山大地震 瞒报真相(图)
Published on 6/30/2008 参考资料:汶川、唐山大地震 瞒报真相(图)
Published on 6/30/2008 参考资料:汶川、唐山大地震 瞒报真相(图)
Published on 6/30/2008 参考资料:汶川、唐山大地震 瞒报真相(图)
Published on 6/30/2008 参考资料:汶川、唐山大地震 瞒报真相(图)
Published on 6/30/2008 参考资料:汶川、唐山大地震 瞒报真相(图)
Published on 8/1/2009 法轮大法明慧网 - 麦克•麦洪恩在滑铁卢大学回答观众提问(图)
Published on 8/1/2009 法轮大法明慧网 - 麦克•麦洪恩在滑铁卢大学回答观众提问(图)
Published on 8/1/2009 法轮大法明慧网 - 麦克•麦洪恩在滑铁卢大学回答观众提问(图)
Published on 11/28/2009 法轮功,书讯:《同化法光》面世(图) - 法轮大法明慧网 - minghui.org
Published on 11/28/2009 法轮功,书讯:《同化法光》面世(图) - 法轮大法明慧网 - minghui.org
Published on 12/20/2009 法轮功,博士生修大法两月   再生障碍性贫血痊愈(图) - 法轮大法明慧网 - minghui.org
Published on 12/20/2009 法轮功,博士生修大法两月   再生障碍性贫血痊愈(图) - 法轮大法明慧网 - minghui.org
Published on 12/20/2009 法轮功,博士生修大法两月   再生障碍性贫血痊愈(图) - 法轮大法明慧网 - minghui.org
Published on 2/21/2010 法轮功,中共杀害法轮功学员案例被联合国记录在案(图) - 法轮大法明慧网 - minghui.org
Published on 4/15/2010
Published on 5/2/2010 法轮功,严重侵犯信仰自由 中国再被列为特别关注国(图) - 法轮大法明慧网 - minghui.org
Published on 5/14/2010 法轮功,【征稿选登】专题:法轮功祛病健身效果好 - 法轮大法明慧网 - minghui.org
Published on 5/14/2010 法轮功,【征稿选登】专题:法轮功祛病健身效果好 - 法轮大法明慧网 - minghui.org
Published on 5/14/2010 法轮功,【征稿选登】专题:法轮功祛病健身效果好 - 法轮大法明慧网 - minghui.org
Published on 5/14/2010 法轮功,【征稿选登】专题:法轮功祛病健身效果好 - 法轮大法明慧网 - minghui.org
Published on 5/14/2010 法轮功,【征稿选登】专题:法轮功祛病健身效果好 - 法轮大法明慧网 - minghui.org
Published on 5/14/2010 法轮功,【征稿选登】专题:法轮功祛病健身效果好 - 法轮大法明慧网 - minghui.org
Published on 5/14/2010 法轮功,【征稿选登】专题:法轮功祛病健身效果好 - 法轮大法明慧网 - minghui.org
Published on 5/14/2010 法轮功,【征稿选登】专题:法轮功祛病健身效果好 - 法轮大法明慧网 - minghui.org
Published on 5/14/2010 法轮功,【征稿选登】专题:法轮功祛病健身效果好 - 法轮大法明慧网 - minghui.org
Published on 5/14/2010 法轮功,【征稿选登】专题:法轮功祛病健身效果好 - 法轮大法明慧网 - minghui.org
Published on 5/14/2010 法轮功,【征稿选登】专题:法轮功祛病健身效果好 - 法轮大法明慧网 - minghui.org
Published on 5/14/2010 法轮功,【征稿选登】专题:法轮功祛病健身效果好 - 法轮大法明慧网 - minghui.org
Published on 6/13/2010 法轮功,中共“六一零”办公室的组织机构浅析(一) - 法轮大法明慧网 - minghui.org
Published on 6/13/2010 法轮功,中共“六一零”办公室的组织机构浅析(一) - 法轮大法明慧网 - minghui.org
Published on 6/13/2010 法轮功,中共“六一零”办公室的组织机构浅析(一) - 法轮大法明慧网 - minghui.org
Published on 6/13/2010 法轮功,中共“六一零”办公室的组织机构浅析(一) - 法轮大法明慧网 - minghui.org
Published on 6/13/2010 法轮功,中共“六一零”办公室的组织机构浅析(一) - 法轮大法明慧网 - minghui.org
Published on 6/13/2010 法轮功,中共“六一零”办公室的组织机构浅析(一) - 法轮大法明慧网 - minghui.org
Published on 6/13/2010 法轮功,中共“六一零”办公室的组织机构浅析(一) - 法轮大法明慧网 - minghui.org
Published on 6/13/2010 法轮功,中共“六一零”办公室的组织机构浅析(一) - 法轮大法明慧网 - minghui.org
Published on 7/13/2010 法轮功,加情报局主任:中共干扰针对法轮功(图)
Published on 7/20/2010 法轮功,参考资料:加议员亲历中共收买伎俩
Published on 10/6/2010 法轮功,参考资料:挖出共产党的根(一) - 法轮大法明慧网
Published on 10/6/2010 法轮功,参考资料:挖出共产党的根(一) - 法轮大法明慧网
Published on 11/22/2010 法轮功,
Published on 11/22/2010 法轮功,
Published on 11/28/2010 法轮功,写给劳教所警察的一封信(图) - 法轮大法明慧网
Published on 11/28/2010 法轮功,写给劳教所警察的一封信(图) - 法轮大法明慧网
Published on 2/14/2011 法轮功,荒唐的判决 - 法轮大法明慧网
Published on 2/14/2011 法轮功,一张年画引起的迫害(图) - 法轮大法明慧网
Published on 2/14/2011 法轮功,河北省迁西县犯罪警察受中共“嘉奖” - 法轮大法明慧网
Published on 2/14/2011 法轮功,河北省雄县公安局国保大队十年多来犯罪事实 - 法轮大法明慧网
Published on 3/1/2011 法轮功,教育的根本是什么(图) - 法轮大法明慧网
Published on 3/1/2011 法轮功,古人教子理念:重德修身(二) - 法轮大法明慧网
Published on 3/3/2011 法轮功,古人教子理念:重德修身(四) - 法轮大法明慧网
Published on 7/11/2011 法轮功,彩信:买鞭炮,放鞭炮 - 法轮大法明慧网
Published on 7/11/2011 法轮功,彩信:买鞭炮,放鞭炮 - 法轮大法明慧网
Published on 7/11/2011 法轮功,彩信:买鞭炮,放鞭炮 - 法轮大法明慧网
Published on 7/11/2011 法轮功,彩信:买鞭炮,放鞭炮 - 法轮大法明慧网
Published on 9/29/2011 法轮功,文史漫谈:岳飞与武汉(上) - 法轮大法明慧网
Published on 9/29/2011 法轮功,文史漫谈:岳飞与武汉(上) - 法轮大法明慧网
Published on 9/29/2011 法轮功,文史漫谈:岳飞与武汉(上) - 法轮大法明慧网
Published on 9/29/2011 法轮功,文史漫谈:岳飞与武汉(上) - 法轮大法明慧网
Published on 9/30/2011 法轮功,杜绝邪恶 - 法轮大法明慧网
Published on 9/30/2011 法轮功,二零一一年九月二十八日大陆各地简讯及交流 - 法轮大法明慧网
Published on 9/30/2011 法轮功,二零一一年九月二十八日大陆各地简讯及交流 - 法轮大法明慧网
Published on 9/30/2011 法轮功,二零一一年九月二十八日大陆各地简讯及交流 - 法轮大法明慧网
Published on 10/7/2011 法轮功,压不倒的稻子和烧不坏的雪碧瓶 - 法轮大法明慧网
Published on 1/27/2012 法轮功,法轮大法英文网站更新 - 法轮大法明慧网
Published on 1/27/2012 法轮功,法轮大法英文网站更新 - 法轮大法明慧网
Published on 6/7/2012 法轮功,【征稿选登】法轮大法在长春(4) - 法轮大法明慧网
Published on 8/10/2012 法轮功,揭秘湖北省“法西斯集中营” - 法轮大法明慧网
Published on 9/7/2012 法轮功,二零一二年九月七日大陆各地简讯及交流
Published on 12/19/2012 法轮功,转载:人参果(动画片)
Published on 6/3/2013 法轮功,柬共头目受审 中共“革命”罪恶曝光